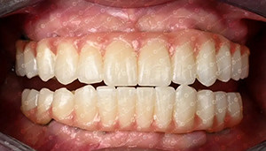
Caso del cliente. Bloque de zirconia 4D.
Published On: August 29, 2024
Maestro: Ivaylo Dimitrov de Bulgaria
Materiales: Disco de zircónia multicapa de Yucera 4D Pro
Sombra: A1
Published On: August 29, 2024
Maestro: Ivaylo Dimitrov de Bulgaria
Materiales: Disco de zircónia multicapa de Yucera 4D Pro
Sombra: A1
Deja un mensaje
¡Te llamaremos pronto!
¡Su mensaje debe ser de entre 20 y 3.000 caracteres!
¡Por favor, revisa tu correo electrónico!
Más información facilita una mejor comunicación.
¡Enviado con éxito!
¡Te llamaremos pronto!
Deja un mensaje
¡Te llamaremos pronto!
¡Su mensaje debe ser de entre 20 y 3.000 caracteres!
¡Por favor, revisa tu correo electrónico!